İçeriğe geç
Prof Dr. Mustafa EFENDİOĞLU – Beyin, Omurilik ve Sinir Cerrahı
Prof Dr. Mustafa EFENDİOĞLU – Beyin, Omurilik ve Sinir Cerrahı
  • Anasayfa
  • Hakkında
    • Öz Geçmiş
    • Çalışma Alanları
    • Eser ve Akademik Yayınlar
    • Videolar
    • Hasta Yorumları
  • Hastalıklar
    • Kranial Hastalıklar
    • Spinal Hastalıklar
    • Periferik Sinir Hastalıkları
    • Pediatrik Hastalıklar
    • Fonksiyonel Nöroşirurji
  • Tedaviler
    • Bel Fıtığı Tanısı ve Tedavisi
    • Boyun Fıtığı Tanısı ve Tedavisi
    • Bel Kayması Spondilolistezis Tanısı ve Tedavisi
    • Bel Fıtığında ve Boyun Fıtığında Ameliyatsız Çözümler
    • Omurga Kanal Daralması Tanı ve Tedavisi
    • Omurga Çökme Kırığı Tedavisi
    • Beyin Tümörü Ameliyat Yöntemleri Tanı ve Tedavisi
    • Beyincik Sarkması-Chiari Malformasyonu Tanı ve Tedavisi
    • Omurilik Tümörü Tanı ve Tedavisi
    • Hidrosefali Tanı ve Tedavisi
  • İletişim
  • Türkçe
  • English
+90 505 774 59 97
  • +90 505 774 59 97
  • dr@mustafaefendioglu.com
  • Göztepe Mah. , Bağdat Cad. , Bina No: 173 , K:3, İç Kapı No: 6, Oda No:305 KADIKÖY/ İSTANBUL

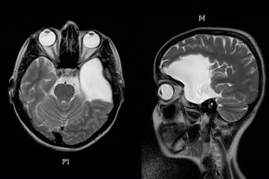
Araknoid Kist

AnasayfaAraknoid Kist Nedeni Belirtileri TedavileriAraknoid Kist
admin

Araknoid Kist

Araknoid Kist

Yazı gezinmesi

Araknoid Kist Nedeni Belirtileri Tedavileri

Arama

Yeni Makaleler

  • Omurilik Yaralanmalarının Tanısı
    Fibromyalji Nedir? Kasım 4, 2024
  • Omurilik Tümörü
    Omurilik Tümörü Nedir ? Belirtiler ve Tedavi Yöntemleri Kasım 4, 2024
  • Omurga Çökme Kırığı
    Omurga Çökme Kırığı Tedavisi Temmuz 24, 2024
  • Boyun Fıtığı
    Boyun Fıtığı Temmuz 16, 2024
  • Omurilik Tümörü
    Omurilik Tümörü Tanı ve Tedavisi Temmuz 16, 2024

İletişim Bilgileri

E-Mail
dr@mustafaefendioglu.com
Adres:
Göztepe Mah. , Bağdat Cad. , Bina No: 173 , K:3, İç Kapı No: 6, Oda No:305
KADIKÖY/ İSTANBUL

Önemli Linkler

  • Tedaviler
  • Çalışma Alanları
  • Öz Geçmiş
  • Hastalıklar
  • Videolar

Hastalıklar

  • Kranial Hastalıklar
  • Spinal Hastalıklar
  • Periferik Sinir Hastalıkları
  • Pediatrik Hastalıklar
  • Fonksiyonel Nöroşirurji

Çalışma Satlerimiz

Pazartesi: 09:00 - 21:00
Salı: 17:00 - 21:00
Çarşamba: 09:00 - 21:00
Perşembe: 13:00 - 21:00
Cuma: 13:00 - 21:00
Cumartesi: 13:00 - 21:00
Kapalı Gün
Pazar : KAPALI
Copyright © 2024 Prof. Dr. Mustafa EFENDİOĞLU Tüm Hakları Saklıdır.
Web Sitemiz Azra Ajans Tarafından Hazırlanmıştır.
Onayı Yönet
En iyi deneyimleri sunmak için, cihaz bilgilerini saklamak ve/veya bunlara erişmek amacıyla çerezler gibi teknolojiler kullanıyoruz. Bu teknolojilere izin vermek, bu sitedeki tarama davranışı veya benzersiz kimlikler gibi verileri işlememize izin verecektir. Onay vermemek veya onayı geri çekmek, belirli özellikleri ve işlevleri olumsuz etkileyebilir.
Fonksiyonel Her zaman aktif
Teknik depolama veya erişim, abone veya kullanıcı tarafından açıkça talep edilen belirli bir hizmetin kullanılmasını sağlamak veya bir elektronik iletişim ağı üzerinden bir iletişimin iletimini gerçekleştirmek amacıyla meşru bir amaç için kesinlikle gereklidir.
Tercihler
Teknik depolama veya erişim, abone veya kullanıcı tarafından talep edilmeyen tercihlerin saklanmasının meşru amacı için gereklidir.
İstatistik
Sadece istatistiksel amaçlar için kullanılan teknik depolama veya erişim. Sadece anonim istatistiksel amaçlar için kullanılan teknik depolama veya erişim. Mahkeme celbi, İnternet Hizmet Sağlayıcınızın gönüllü uyumu veya üçüncü bir taraftan ek kayıtlar olmadan, yalnızca bu amaçla saklanan veya alınan bilgiler genellikle kimliğinizi belirlemek için kullanılamaz.
Pazarlama
Teknik depolama veya erişim, reklam göndermek için kullanıcı profilleri oluşturmak veya benzer pazarlama amaçları için kullanıcıyı bir web sitesinde veya birkaç web sitesinde izlemek için gereklidir.
  • Seçenekleri yönet
  • Hizmetleri yönetin
  • {vendor_count} satıcılarını yönetin
  • Bu amaçlar hakkında daha fazla bilgi edinin
Tercihleri görüntüle
  • {title}
  • {title}
  • {title}